“医生,我这膝盖是不是没救了?是不是只能换关节了?”

在骨科医院的门诊里,每天都会听到很多类似的疑问。问这话的人,有刚退休爱跳广场舞的阿姨,有周末喜欢爬山的中年人,还有因为工作久站导致膝盖痛的年青人。
他们常常带着相似的困惑和恐惧:膝盖长久疼痛,多方就医后往往得到同一结论:要么忍着,要么换掉。仿佛面对一个用旧的零件,除了报废更换,别无选择。



但是,请先等等。在“忍”和“换”之间,其实存在着一条被很多人忽视的“第三条路”。
一个普遍的误区:膝盖疼=必须换关节
想象一下:你的房子有一扇窗户坏了

你会怎么做?
A. 忍着,凑合着用
B. 把整栋房子拆了重建
C. 找师傅来修好它

正常人都会选C,对吧?可奇怪的是,当我们的身体出现问题时,很多人却直接跳到了B选项。
“膝盖不行就得换”这个观念,就像认为“窗户坏了就得拆房子”一样,是个需要被打破的误区。
重新认识你的膝盖:“三室一厅”的精妙结构
我们的膝盖,其实比你想象的要精巧得多。
你可以把它想象成一个精密的“三室一厅”——

内侧间室(膝盖内侧):主卧,承重最大、最容易磨损的“房间”
外侧间室(膝盖外侧):次卧,受力小,病变概率低
髌股间室(膝盖骨与股骨之间):书房,负责膝盖弯曲、下蹲
关键来了:绝大多数人的膝盖问题,都只是其中一个“房间”出了问题。
特别是最常见的“O型腿”人群,磨损往往集中在“主卧”,而其他房间可能还很完好。
第三条路:精准的“保膝治疗”
既然只有一个房间坏了,那咱们想办法翻修它就行了,何必把整栋房子都拆了呢?这就是“保膝治疗”的核心思路:哪儿坏修哪儿,精准施治。
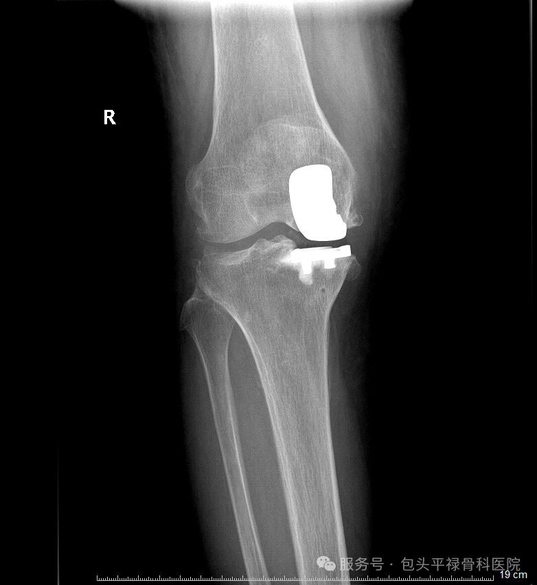
以单髁置换术为例:只换掉膝盖里磨损严重的房间“地板”,保留健康的墙壁、承重梁和隔壁房间。

1.这不仅仅是“少换一点”那么简单,它意味着:
2.创伤更小:切口更短,切除的骨头更少,出血少
3.恢复更快:术后当天或第二天就能下地,大多数患者术后一到三个月即可逐步回归日常生活
4.感觉更自然:保留原膝所有重要的韧带,运动时的本体感觉几乎和原来一样
5.未来选择更多:即使若干年后保膝手术的效果减退,仍然可以考虑进行全膝关节置换,比全膝置换的翻修要简单得多


这“第三条路”适合你吗?
看到这里,你可能想问:这么好的方案,适合我吗?
一般来说,如果你符合这些情况,就很有可能是“保膝治疗”的理想人选:
疼痛集中在膝盖一侧(内或外侧)

上下楼梯、蹲起时疼痛明显,但平地行走还可以

膝关节的稳定性较好,没有明显的“打软腿”或错动感

通过X光片看到,磨损确实局限在一个间室内

当然,具体是否适合,需要专业医生通过详细检查和评估来确定。但至少现在你知道了:在“忍”和“换”之间,还有另外一个选择。
我们总是教导孩子:东西坏了,先修修看,不要轻易扔掉。对待我们身体里陪伴了几十年的“原装膝盖”,不也应该有同样的珍惜吗?
下次当你或家人朋友再被膝痛困扰时,不妨多问一句:“医生,我/TA的情况适合保膝治疗吗?”这不仅仅是一个问题,更是给自己的膝盖一次机会。


能保膝,不换膝——这不仅是现代骨科的治疗原则,也是每位患者应有的选择权利。在接下来的系列文章中,我们将详细解读“保膝”理念,帮你找到最适合的那条康复之路。
本文仅为医学科普,不能替代专业医疗建议。
具体诊断和治疗方案,请咨询您的主治医师。
参考来源:
[1] 梁日观,杨佳艺,谭爽,等.内侧间室膝骨关节炎保膝手术治疗的研究进展[J].微创医学, 2025, 20(1):91-96.
[2] 郭万首,张启栋,刘朝晖,等.膝关节单髁置换术治疗晚期膝关节自发性骨坏死[J].中华骨科杂志, 2014, 34(6):7.DOI:10.3760/cma.j.issn.0253-2352.2014.06.006.
[3] 常文举,丁海.微创膝关节单髁置换术研究进展[J].中国修复重建外科杂志, 2015, 29(10):5.DOI:10.7507/1002-1892.20150282.
[4] 于沂阳,常恒瑞,张英泽.保膝治疗的研究进展[J].中华关节外科杂志:电子版, 2017, 11(1):4.DOI:10.3877/cma.j.issn.1674-134X.2017.01.014.
[5] 王浩浩,张民,席刚,等.膝关节自发性骨坏死的保膝治疗研究进展[J]. 2020.
咨询热线:0472-7168168
医院地址:包头市东河区井湾路197号
