欢迎光临~包头平禄骨科医院官方网站
您的位置: 主页 > 医疗科普

医疗科普

膝关节“局部维修”:带你了解膝关节单髁置换

示意图来源于网络,侵删


李奶奶最近有些困扰:近几年,膝盖疼痛等困扰频繁来袭,走路、上下楼梯时疼痛加剧,严重时甚至无法正常行走......经医生诊断为“膝关节骨性关节炎”,辗转几家医院保守治疗无效后,医生建议她手术治疗。李奶奶以为要把整个膝盖都换掉而十分恐惧,久久未再复诊。

其实,现代医疗技术日趋精准,如果患者的关节炎只局限于膝关节的一个部分(单侧间室),那么TA很可能适合一种更为精准、创伤更小的手术——膝关节单髁置换术。

示意图来源于网络,侵删

单髁置换:精准的“局部翻新”

我们可以把膝关节想象成有三个“房间”的套房:

内侧间室(膝盖内侧)

外侧间室(膝盖外侧)

髌股间室(膝盖骨与股骨之间)

示意图来源于网络,侵删


大多数的早期至中期膝关节炎,并不是所有“房间”都坏了,往往只是其中一个“房间”磨损严重(内侧间室最常见),而其他两个房间及关节的主要韧带仍然是健康的。


示意图来源于网络,侵删

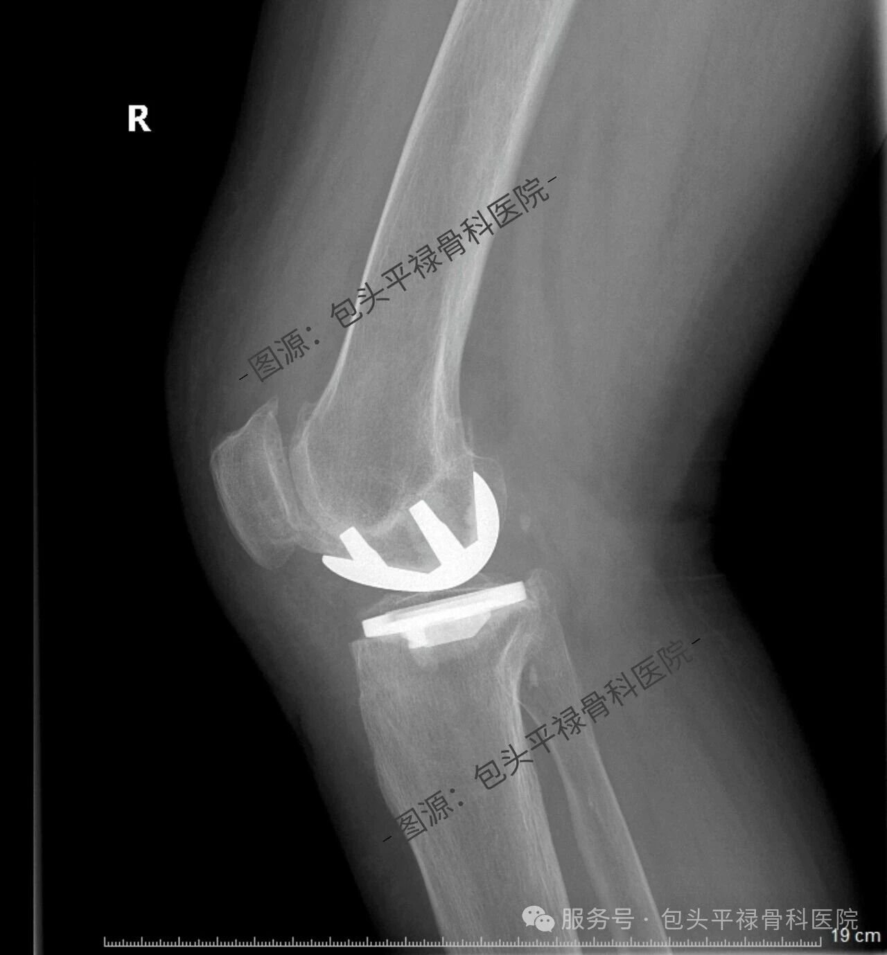
膝关节单髁置换术相当于“局部翻新”,就是只置换“坏掉房间”的磨损表面,仅将受损的软骨和部分骨质去除,替换为人工假体,而完好的软骨、交叉韧带及其他结构都得以最大程度的保留。


不少人就会问:“那是单髁置换好,还是全膝置换好?”这其实是一个常见的误区。

在医生看来,这两种手术并非“孰优孰劣”的竞争关系,而是“各司其职”的互补关系。就像医生看病开药,关键不是药的好坏,而是是否对症。选择哪种手术,并非由患者主观意愿或医生偏好决定,而是由一套严格的“适应症” 来客观判断。

那么,哪些人适合做单髁置换呢?


适应症把握:关键在于“精准”

局限性关节炎

关节炎主要局限于膝关节的一个间室,其他间室和髌股关节软骨基本完好。

韧带功能完整

膝关节的前后交叉韧带、内外侧副韧带结构完整,功能良好。这是保证手术效果和关节稳定性的关键。

疼痛位置固定

疼痛主要集中在膝内侧或外侧一条线上,而不是整个膝盖都痛。

膝关节畸形不严重

内翻(O型腿)≤15度、外翻(X型腿)或屈曲畸形≤10度,且可被动矫正。

患者活动需求较高

对术后关节活动度要求较高的较年轻患者,单髁置换常能提供更接近自然关节的运动感觉。若关节炎已累及多间室、韧带严重损伤失效、关节畸形僵硬严重,则全膝关节置换通常是更合适的选择。



示意图来源于网络,侵删


当然,最终是否适合,需要医生通过详细的查体和影像学证据来综合判断


单髁置换术的突出特点是什么?

创伤更小:手术切口短,对软组织损伤小。

出血更少:术中出血量少。

恢复更快:术后当天或次日即可下地,住院时间短,康复速度更快。

感觉更自然:保留了膝关节大部分正常结构和韧带,术后本体感觉更好,上下楼梯、下蹲体验佳。

功能保留更多:术后膝关节活动范围通常更大。


单髁假体能用多久?

单髁假体的使用寿命并不是一个固定的数值,而是受假体材料、手术技术、患者年龄、体重、活动水平以及术后康复管理等多因素共同影响的。


示意图来源于网络,侵删


得益于现代材料科学和外科技术的进步,当代的单髁假体被设计的十分精密和耐用。根据全球范围内大量的临床随访研究数据显示,绝大多数单髁假体都能够为患者提供长期、稳定的服务。

包头平禄骨科医院温馨提示

单髁置换 ≠ 比全膝置换高级,它只是适用范围不同。

全膝置换 ≠ 落后或过时,对于广泛病变的关节,它无可替代。

核心决策依据是“适应症”:通过医生的专业体检和影像学检查,明确膝关节的“故障模式”,是选择最佳手术方案的不二法门。


如果您正受膝关节炎困扰,请不要纠结于哪种手术“更好”,而是应该寻求一位专业的关节外科医生,进行一次全面的评估,共同找到那个最适合您、最能为您带来长期满意效果的“个性化”治疗方案。


本文仅为医学科普,不能替代专业医疗建议。

具体诊断和治疗方案,请咨询您的主治医师。


参考来源:

[1] 王一鸣,王琦,张先龙.膝关节单髁置换术的适应证及远期疗效综述[J].中华关节外科杂志:电子版, 2016, 10(003):341-346.DOI:10.3877/cma.j.issn.1674-134X.2016.03.019.

[2] 康凯,高石军,董江涛,等.膝关节单髁置换术的发展研究进展[J].中国矫形外科杂志, 2014, 22(2):4.DOI:10.3977/j.issn.1005-8478.2014.02.07.

[3] 郑佳鹏.膝关节单髁置换的疗效与评价研究[D].第四军医大学,2009.DOI:CNKI:CDMD:2.2009.145774.

[4] 刘晓东,凃意辉,蔡珉巍,等.膝关节单髁置换术治疗严重内侧间室骨性关节炎[C]//第十九届中国康协肢残康复学术年会.0[2025-11-08].

[5] 卢明峰,李泽晖,朱东平,曹学伟,牛维. 同一患者双膝单间室骨关节炎单髁置换与全膝关节置换的对比[J].中国组织工程研究,2018,22(3):343-349. DOI:10.3969/j.issn.2095-4344.0028

[6] 韩梦光,齐禹森,韩振,田伟超,张兴旭,杨阳.单髁与后交叉韧带保留型假体膝关节置换的近期疗效对比[J].中国组织工程研究,2020,24(15):2329-2334. DOI:10.3969/j.issn.2095-4344.2602




医疗科普

用手机扫描二维码关闭
二维码